Chi phí tẩy trắng răng là vấn đề mà rất nhiều khách hàng quan tâm tìm hiểu. Xác định được một địa chỉ tẩy trắng răng uy tín với giá thành phải chăng không phải là chuyện đơn giản, nhất là hiện nay có rất nhiều cơ sở nha khoa được thành lập và hoạt động dày đặc chỉ tính riêng trên địa bàn thành phố Hồ Chí Minh.
Vì sao nên tẩy trắng răng?
Xã hội ngày càng hiện đại, các nhu cầu đều tăng lên và không thể không kể đến nhu cầu thẩm mỹ. Trong các bộ phận "mặt tiền" thì khuôn miệng là điểm gây chú ý và thu hút được xếp là quan trọng trên khuôn mặt. Do đó, khi gặp phải tình trạng răng ố vàng, xỉn màu, xuất hiện các vệt đen xấu xí thì bạn nên cân nhắc tẩy trắng răng sớm trước khi men răng đã bị hủy hoại quá nặng.

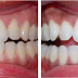
Răng sáng bóng hơn sau khi được tẩy trắng
Răng ố vàng do nhiều nguyên nhân như đánh răng không sạch, không súc miệng thường xuyên, không đi lấy cao răng định kì, lạm dụng thực phẩm có sắc tố mạnh, ăn trầu nhiều hoặc hút thuốc lá,... Dù với nguyên nhân nào thì ố vàng răng cũng gây tổn hại cho thẩm mỹ gương mặt. Vì vậy tẩy trắng răng và một viêc vô cùng cần thiết.
Tẩy trắng răng như thế nào?
Laser Whitening là một công nghệ làm trắng răng mới trong lĩnh vực nha khoa. Đây là một bước tiến vượt bậc trong quá trình nghiên cứu công nghệ làm đẹp khuôn miệng thẩm mỹ. Năng lượng ánh sáng Laser sẽ hoạt hóa các chất trong thuốc tẩy để bẻ gãy chuỗi liên kết tạo màu trong men răng. Răng gần như trắng lên tức thì và sau đó bác sĩ sẽ thoa thuốc đánh bóng cho răng sạch khuẩn và đạt màu sắc tự nhiên như mong muốn.

Răng gần như trắng lên tức thì với Laser Whitening
Chi phí tẩy trắng răng
Laser Whitening được nghiên cứu và đưa vào sử dụng với những ưu điểm hàng đầu, đáp ứng được nhu cầu của hầu khắp mọi đối tượng đang có nhu cầu làm đẹp nha khoa. Tuy nhiên, chi phí là một trong những yếu tố gây e ngại cho khách hàng vì mỗi nơi một giá, rất khó để biết được ở đâu thực hiện hiệu quả với mức giá tương xứng.

Laser Whitening được nghiên cứu và đưa vào sử dụng với những ưu điểm hàng đầu
Tẩy trắng răng giá bao nhiêu tiền phụ thuộc vào phương pháp làm trắng răng mà các bạn lựa chọn. Tại Nha khoa Đăng Lưu, chi phí tẩy trắng răng tại phòng nha là 2.500.000 VNĐ/2 hàm, còn đối với những răng bị nhiễmTetra thì chi phí tẩy trắng từ 3.000.000- 5.000.000 VNĐ/2 hàm.

Công nghệ Laser Whitening là một trong số những dịch vụ thẩm mỹ nha khoa được áp dụng phổ biến nhất hiện nay
Công nghệ Laser Whitening là một trong số những dịch vụ thẩm mỹ nha khoa được áp dụng phổ biến nhất hiện nay. Điều đó cho thấy bạn nên dành sự tin tưởng và nhanh chóng áp dụng kỹ thuật tẩy răng ưu việt.
Khi đến với trung tâm nha khoa Đăng Lưu, bạn sẽ nhận các tư vấn miễn phí hoặc giải đáp các thắc mắc tận tình như: bệnh sâu răng chữa như nào, làm gì để răng chắc khỏe, niềng răng hô có đau không, cấy ghép Implant có bền không, niềng răng hô mất bao lâu, dán sứ Veneer tốn bao nhiêu, dùng chỉ nha khoa hiệu quả, phẫu thuật hàm hô có an toàn không, bọc răng sứ có ảnh hưởng gì không, sâu răng có cần lấy tủy không, nhổ răng khôn có nên không, làm gì khi bị mất răng cửa,...Bạn sẽ có một sự trải nghiệm thú vị cùng những kiến thức nha khoa bổ ích!
Bài viết được trích nguồn tại: https://taytrangrangdangluu.blogspot.com
Thông tin liên hệ:
Trung tâm nha khoa Đăng Lưu
Cơ sở 1: 34 Phan Đăng Lưu, P.6, Q.BìnhThạnh - (+84 8) 6297 7148
Cơ sở 2 : 540 Trần Hưng Đạo, P.2, Q.5 - (+84 8) 6682 0246
Hotline: 08 3803 0578
TG: MT