Móm làm cho gương mặt của bạn mất cân đối và hài hòa. Khiến bạn thiếu tự tin trong giao tiếp, tự ti với nụ cười của mình, bên cạnh đó móm còn gây khó khăn cho bạn trong vấn đề ăn nhai. Để điều trị móm, người ta nghĩ ngay tới niềng răng – chỉnh nha, nhưng thật sự niềng răng trong suốt mất bao lâu?
Có niềng răng cho răng bị móm không?
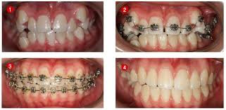
Với kỹ thuật hiện đại, hiện giới nha khoa đã ứng dụng thành công phương pháp niềng răng thẩm mỹ để chỉnh sửa răng mọc lệch và đặc biệt là hàm móm. Tuy nhiên việc niềng răng thẩm mỹ có chữa hết móm không lại tùy thuộc vào trường hợp móm của bạn.

Móm có thể chia làm ba loại: móm do răng, móm do xương hàm và móm do cả răng và xương hàm. Trong đó, niềng răng thẩm mỹ mang lại hiệu quả cao khi điều trị cho trường hợp móm do răng.
Với trường hợp móm do xương hàm thì phẫu thuật sẽ mang lại kết quả tốt nhất. Nếu móm do cả răng và xương hàm thì có thể áp dụng cả 2 biện pháp niềng răng và phẫu thuật.
Tại sao phải niềng răng móm?
– Gương mặt cân đối: răng móm sẽ gây ảnh hưởng đến sự cân xứng của khuôn mặt, khiến bạn mất tự tin khi giao tiếp. Niềng răng sẽ giúp bạn sở hữu một hàm răng đều, đẹp, lấy lại khuôn mặt cân đối và hài hoàn hơn.
– Cải thiện sức khỏe răng miệng: răng móm làm ảnh hưởng đến tinh thần, làm lệch khớp cắn, giảm chức năng ăn nhai. Nếu tình trạng móm kéo dài sẽ gây đau khớp thái dương, đau đầu, có thể bị rối loạn tiêu hóa. Sau khi niềng răng, bạn sẽ ăn nhai dễ dàng hơn và sức khỏe răng miệng tốt hơn nhiều.

– Giảm thiểu các vấn đề liên quan đến răng miệng: niềng răng móm giúp răng dịch chuyển về đúng vị trí, đều đặn, dễ dàng vệ sinh răng miệng hơn. Từ đó sẽ làm giảm thiểu các bệnh liên quan đến răng miệng như sâu răng, viêm lợi,…
Thông tin liên hệ: Trung tâm nha khoa Đăng Lưu
Địa chỉ:
Cơ sở 1: 34 Phan Đăng Lưu, P.6, Q.Bình Thạnh –(+84 8) 6297 7148
Cơ sở 2: 540 Trần Hưng Đạo, P.2, Q.5 –(+84 8) 6682 0346
Hotline: (+84 8) 66820346